走进外科|胸椎压缩性骨折:老年人不可忽视的“静默”威胁
2025年7月7日,北京高博医院骨科李勤主任门诊接诊了一位77岁李奶奶(化名)。奶奶家属自诉患者患有阿尔茨海默症,一周前坐个“屁墩儿”后出现背部剧痛、不能弯腰站立及行走。外院CT提示“胸椎压缩性骨折”,目前生活质量严重下降,无法行走,背部疼痛需要口服止痛处理,生活无法自理。
一、胸椎压缩性骨折
胸椎压缩性骨折是老年人常见的脊椎损伤。是构成脊椎胸段的椎体因外力作用导致高度降低、形态变扁的一种骨折。特别是高龄老人,这种骨折发生往往不来源剧烈外伤(如车祸、高处坠落),而可能由一些看似平常动作诱发,如:剧烈咳嗽或打喷嚏、轻微跌倒、弯腰搬抬不重的物品,甚至无明显诱因。其根本原因在于——骨质疏松,骨质疏松导致骨质的脆弱是元凶。

二、胸椎压缩性骨折的症状呈多样性
-
最常见背部疼痛、活动时加重,平卧休息可缓解。
-
驼背、身高变矮。
-
活动受限。
-
神经症状(少见但严重),如下肢麻木、无力、大小便障碍等,需紧急处理。
三、诊断与治疗
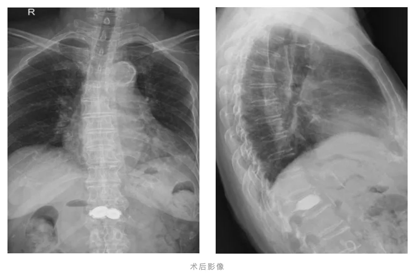
个体化方案是关键。李勤主任团队通过详细问诊,了解李奶奶的既往病史后,对李奶奶进行了详细的体格检查,辅助X光、CT及MRI等影像检查,考虑李奶奶既往有陈旧性胸椎骨折,伴有新发胸椎骨折。根据患者年龄、健康状态、骨折类型、神经损伤情况、骨质疏松及患者本人及家属诉求综合制定在局麻下行经皮椎体后凸成形术(PKP)。
经皮椎体后凸成形术(PKP):在影像引导下,向压缩的椎体内放置钛网、注入骨水泥,快速稳定骨折部位,恢复椎体高度,进而实现缓解疼痛。PKP有创伤小、恢复好的特点,特别针对李奶奶这类高龄体弱合并其他疾病患者。
术后2小时,团队依据快速康复理念,指导李奶奶正确佩戴支具进行早期下床活动,恢复进程显著加快,术后第2天便可以独立行走,顺利出院。
预防:强健骨骼,守护“脊梁”
预防老年胸椎压缩性骨折,关键在于防治骨质疏松和预防跌倒:
1. 早筛查、早治疗骨质疏松:建议65岁以上女性、70岁以上男性定期检测骨密度。
2. 均衡营养,补足钙与维生素D。
3. 规律运动、增强骨密度与肌力。
4. 营造安全环境,严防跌倒。
5. 遵医嘱用药,警惕副作用。
令人欣喜的是,患者家属在随访中激动地反馈,李奶奶如今已能独立下楼活动,尤其是精神状态焕然一新,行走能力显著提升,下肢力量也较前明显增强。看着老人从病痛缠身、行动困难,到如今步履稳健、活动自如,家属内心的喜悦与感激溢于言表。他们由衷地感谢李勤主任团队精湛的医术和不懈的努力,正是团队的精心治疗与关怀,才让李奶奶得以重获生机。
学科特色
北京高博医院外科学科以危重症救治为核心,深度整合普外科、骨科、重症医学科、手术麻醉中心等核心团队,依托国际前沿的医疗设备与顶尖专家团队,构建了从重症监护、精准外科干预(含微创、介入)到精细化围术期管理的全周期、无缝隙诊疗体系,为患者生命健康提供坚实保障。
呼吸与危重症医学科:由张波医疗副院长领衔,肖燕、李一粟等知名专家组成,作为医院重点学科,ICU配备18张监护床位(含2间负压隔离病房),科室拥有空气层流净化系统、多功能呼吸机、血液净化设备等国际先进设施,专长于多脏器功能衰竭、重症感染、ARDS等急危重症的救治。团队熟练掌握有创血流动力学监测、机械通气、CRRT等核心技术。
手术麻醉中心:由中心主任李军带领,整合麻醉科、手术室、消毒供应室资源组成。手术麻醉中心设备先进齐全,拥有8间智能化层流手术间(含2间百级洁净手术室)构成现代化手术平台,配备钬激光、超声刀、DSA等尖端设备。可以配合各类外科手术麻醉、疼痛管理及各类腔镜检查治疗的舒适化医疗。北京高博医院秉承“患者需求至上”理念,通过多学科协作模式(MDT),实现从重症监护到手术治疗的无缝衔接,为患者提供全流程优质医疗服务。













